UltraView XL Ultrasound
Imaging system and ultrasound biomicroscope
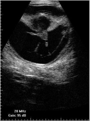
The ocular ultrasound uses an imaging technique that utilizes high-frequency sound waves that can be employed instead of light to create an image of the retina, the corneal space, and the surrounding structures (depending on the probe).
- Software preloaded on Laptop (for U.S. and Canada only)
- Immediately ready to scan
- Easy to use
- Start with one or more probes
- Ability to add additional probes
- Description
- Additional information
Description
FREEDOM TO OPERATE ANYWHERE
Advanced technology with the UltraView XL portable ultrasound system. Internal, rechargeable battery allows for portable scanning.
AC POWER SUPPLY
The included lithium-ion internal battery supplies 6-7 hours of AC mains-free operation. The battery pack consists of three 3.7V, 2400mAH (nominal) lithium-ion batteries that supply a total of 11.1 volts.
BATTERY/PROBE PERFORMANCE
Power the probe continuously for up to four (4) hours for the first 300 full discharge cycles.
If used with a battery-powered PC host (i.e. laptop or tablet computer), operation of the ultrasound imaging engine and probe does not deplete the computer’s battery, thus extending operating abilities of the entire imaging system.
COMPONENTS OF THE SYSTEM
The imaging system is composed of the following items:
- Ultrasound Electronics Substation with internal battery
-
One or more probes (12MHz, 20MHz, 35MHz or 50MHz). Note: the high frequency 35 and 50MHz transducers require the UBM waterpath probe)
-
Probe cable
-
USB Foot Pedal
-
USB cable to connect substation to host PC
-
AC power supply/cable
-
Windows Laptop PC (available as an optional accessory, preinstalled and configured with necessary software)
-
Optional accessories (as ordered)
OPERATING SYSTEM REQUIREMENTS
-
Windows Operating System
Additional information
| Select Probe Configuration: | 12MHz Probe, 20MHz Probe, 35MHz UBM Probe, 50MHz UBM Probe |
|---|


























